Vizsla combinatie Miyo en Stig
De Inteelt Coëfficiënt ( IC ) voor de combinatie MIYO & STIG bedraagt slechts 1,63% ( dit is zeer zeer laag ) en blijft dus ruim onder de geadviseerde 5%, waardoor er geen enkele sprake is van ‘inteelt’ is, dit komt de gezondheid van de honden ten goede.
Hieronder vind je het relaas van de loopsheid tot de geboorte van de pups.
Miyo is zaterdag 15 februari loops geworden.
Ze is op woensdag 26 febuari en donderdag 27 februari gedekt door Stig van het Oetervelt.
Indien de teef drachtig is zullen de pups na 9 weken geboren worden. Er wordt een echo genomen 4 weken na de dekking om de dracht te bevestigen.
De datum waarop de worp is uitgerekend ( 63 dagen ) is voorzien op 30 April 2025. Dit kan uiteraard een paar dagen verschillen, de natuur heeft hier ook zijn zeg in.
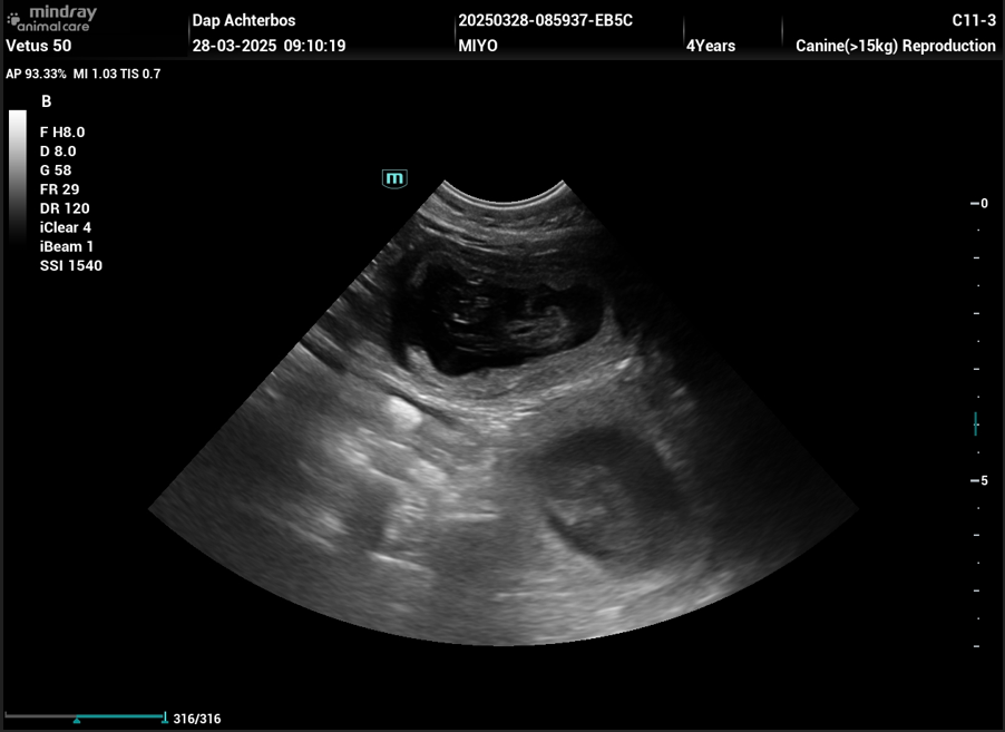
De echo is ondertussen gemaakt op vrijdag 28 maart, en heeft bevestigd dat ze drachtig is, er waren meerdere ‘kloppende hartjes’ te zien op de echo volgens de dierenarts ( zie echo hieronder ).
Uit ervaring weten we dat we enkel kunnen zien of ze drachtig is, maar niet van hoeveel pups exact, daar het hier enkel ‘vruchtjes’ betreft, die kunnen geteld worden. Zelfs voor een ervaren dierenarts is dit zeer moeilijk, daar de hond beweegt tijdens de echo.
Een week voor de uitgerekende datum ( 23 april ) wordt een röntgenfoto ( RX ) gemaakt en krijgen we een beter beeld van het aantal pups dat zal verwacht worden.
De RX is ondertussen gemaakt. De dierenarts wist ons te vertellen dat er minimaal 8 pups op zitten. Misschien wel 9, dit is niet helemaal duidelijk op de foto te zien.
Hieronder vind je de RX terug die gemaakt is op woensdag 23 April 2025.
Op de röntgenfoto kan je de skelletjes van de pups tellen.
Waar is onze keuze van dek-reu op gebaseerd?
In eerste instantie gaan we op zoek naar een gepast dekreu. We kijken of de desbetreffende dek-reu voldoet aan het fokreglement van de Belgian Magyar Vizsla Club. Ons teefje Miyo voldoet tevens ook aan die eisen.
Wij baseren onze keuze uiteraard ook op gebied van het ‘uiterlijk’. Wij vinden het belangrijk om de grootte van de reu te matchen met de grootte van het teefje. Maar ook de ‘kleur’ vinden wij belangrijk omdat onze voorkeur uitgaat naar een ‘donkerbruine kleur’ in plaats van een ‘lichtere versie’.
Ook laten we de dek-reu en het teefje eens een keer kennismaken met elkaar, nog voor de dekking zal plaatsvinden.













